surgery
Arrhythmia Surgery: Procedures, Risks, and Success Rates

A doctor may recommend surgery for arrhythmia when medications and lifestyle changes haven’t been effective. The different types of arrhythmia surgeries each aim to restore a regular heart rhythm. Arrhythmia refers to a condition affecting the rate or rhythm of…
Fasciotomy Purpose, Procedure, Effectiveness, and Side Effects

A fasciotomy is a procedure where a surgeon cuts your fascia to relieve compartment syndrome. Your fascia is a thin sheet of connective tissue surrounding and supporting your muscles. Compartment syndrome is a potentially serious condition that occurs when pressure…
Multiple Myeloma Surgery: Purpose, Procedures, Risks

Surgery isn’t a typical treatment for multiple myeloma. But in some cases, surgery may be necessary to address complications from the disease. Multiple myeloma is a rare type of cancer that causes abnormal cells to develop in your bone marrow.…
Is it normal to bleed after sex if you have an intrauterine device (IUD)?

There are a number of reasons you might experience bleeding after sex. If you have an intrauterine device (IUD), you might wonder if bleeding after sex is a normal side effect. For most people, IUDs don’t cause bleeding after sex.…
What is Surgery Second Opinion: Overview, Benefits, and Expected Results

The new product is a great addition to our lineup.
Our latest product is an exciting addition to our already impressive lineup! With its innovative features and sleek design, it's sure to be a hit with customers. Don't miss out on this amazing opportunity to upgrade your life!
What is Surgery: Overview, Benefits, and Expected Results

The new product is a great addition to our lineup.
Our latest product is an exciting addition to our already impressive lineup! With its innovative features and sleek design, it's sure to be a hit with customers. Don't miss out on this amazing opportunity to upgrade your life!
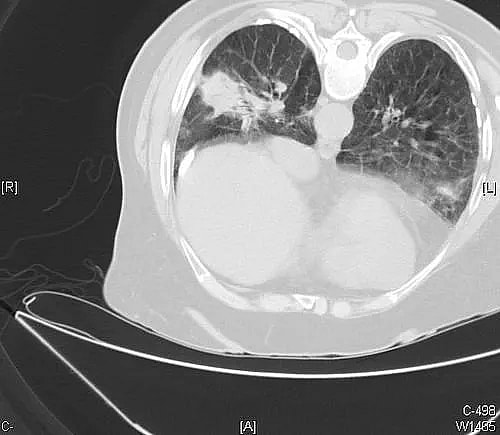
What is Pulmonary Embolectomy: Overview, Benefits, and Expected Results

Definition & Overview A pulmonary embolectomy is a surgical procedure used to remove emboli in the pulmonary arteries. An embolus is a mass that detaches from the body, potentially clogging an artery if it travels through the bloodstream. A pulmonary…
What is Post-Operation Complication Management: Overview, Benefits, and Expected Results

Definition & Overview Whether minor or major, surgeries may come with post-operative complications due to various reasons, controlled and otherwise. While some are transient, others can be serious to the extent of being life-threatening. It is very important that risks…
What is Posterior Cruciate Ligament Reconstruction: Overview, Benefits, and Expected Results

Definition and Overview The posterior cruciate ligament, or PCL, is an internal ligament of the knee joint that connects the femur (thigh bone) with the tibia (one of the bones of the leg). It is found in the center of…
What is Pre-Surgery Follow-Up: Overview, Benefits, and Expected Results

Definition and Overview A pre-surgery follow-up is a visit to the surgeon who will perform a particular surgical procedure. This gives the patient an opportunity to fully discuss the surgery in detail before it is carried out. This is typically…
What is Phalloplasty: Overview, Benefits, and Expected Results

Definition & Overview Phalloplasty is a surgical procedure used to reconstruct the male genitalia. The goal of this procedure is to achieve erotic sensation and rigidity for sexual intercourse as well as retain the capability of urinating while standing up.…
What is Pelvic Gynaecological Surgery: Overview, Benefits, and Expected Results

Definition & Overview A pelvic gynaecological surgery refers to surgical procedures performed on any of the organs in the pelvic region. Several of these procedures are now performed using minimally invasive techniques to reduce surgical risks and shorten recovery time.…
